Найти в Дзене
Войти
1,0×
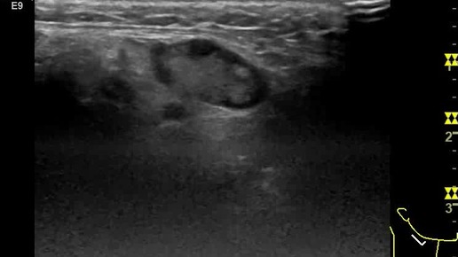
Видео к статье https://dzen.ru/a/Znp1GRgesS7Ia-wF. Опухоль слюнной железы. Лимфатический узел
79 просмотров · 2 года назад
00:00
/
00:10
Ультразвуковые находки от врача УЗД Зорина Я.П.
548 подписчиков
Подписаться
2337875327.846.1773984528330.97222