Найти в Дзене
Войти
1,0×
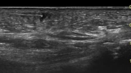
Инородное тело (заноза, игла кактуса) в мягких тканях стопы
4 просмотра · 2 года назад
00:00
/
00:09
Ультразвуковые находки от врача УЗД Зорина Я.П.
563 подписчиков
Подписаться
3524342685.937.1776959706081.42972