Найти в Дзене
Войти
1,0×
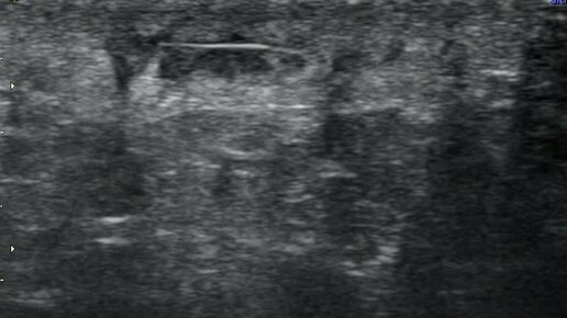
Инородное тело (заноза) в мягких тканях ягодичной области
23 просмотра · 2 года назад
00:00
/
00:44
Ультразвуковые находки от врача УЗД Зорина Я.П.
550 подписчиков
Подписаться
996666873.936.1774449989546.79137