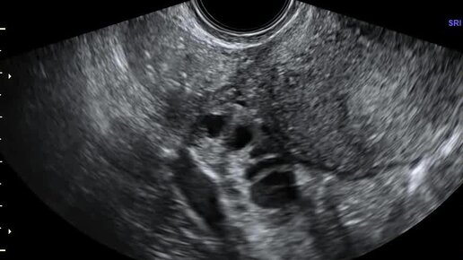
Видео: Поперечное сканирование матки. Правый яичник расположен по заднебоковой поверхности матки. Спаечный процесс