Найти в Дзене
Войти
1,0×
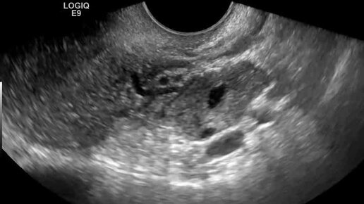
Видео: Поперечное сканирование матки. Левый яичник у угла матки. Спаечный процесс
12 просмотров · 2 года назад
00:00
/
00:11
Ультразвуковые находки от врача УЗД Зорина Я.П.
563 подписчиков
Подписаться
2654357652.1342.1776810036645.95743