Найти в Дзене
Войти
1,0×
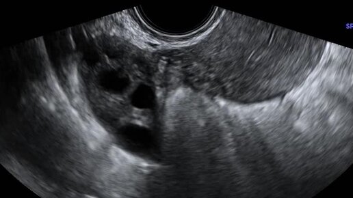
Видео: Поперечное сканирование матки. Правый яичник расположен у угла матки.
26 просмотров · 2 года назад
00:00
/
00:27
Ультразвуковые находки от врача УЗД Зорина Я.П.
563 подписчиков
Подписаться
4250155480.928.1776960060420.24062