Найти в Дзене
Войти
1,0×
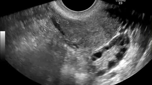
Видео: левый яичник расположен по заднебоковой стенке матки
9 просмотров · 1 год назад
00:00
/
00:08
Ультразвуковые находки от врача УЗД Зорина Я.П.
456 подписчиков
Подписаться
1347242300.1937.1761873227139.56324