Найти в Дзене
Войти
1,0×
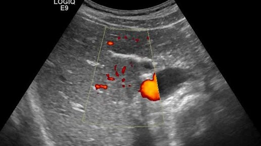
Очаговая узловая гиперплазия печени. Наблюдение №2. Допплерография
47 просмотров · 2 года назад
00:00
/
00:14
Ультразвуковые находки от врача УЗД Зорина Я.П.
561 подписчиков
Подписаться
1347242300.941.1776501223136.21142