Найти в Дзене
Войти
1,0×
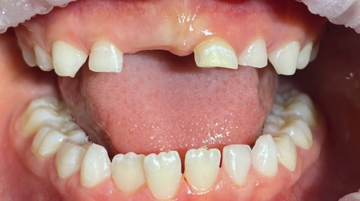
Выпал молочный зуб, а на его месте растет постоянный зуб криво. Что делать?
121 просмотр · 2 года назад
00:00
/
02:03
У зубного
109 подписчиков
Подписаться
2297275873.1808.1766041208968.37005