Найти в Дзене
Войти
1,0×
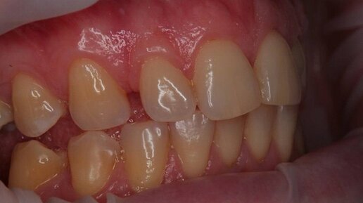
Препарирование зубов под супертонкие виниры
6663 просмотра · 2 года назад
00:00
/
00:54
Стайл-С • стоматология в Москве
235 подписчиков
Подписаться
2828632655.1794.1765785296659.71882