Найти в Дзене
Войти
1,0×
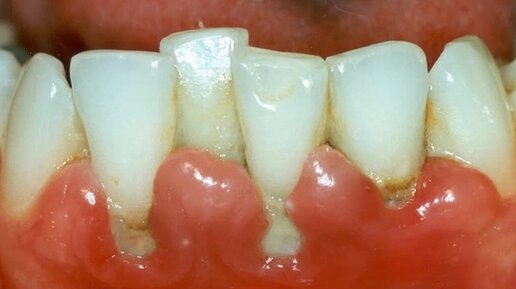
Почему болят десна + признаки болезни
19 просмотров · 3 года назад
00:00
/
02:38
Будь Здоров
1702 подписчиков
Подписаться
1347242300.1794.1765662017936.66286