Найти в Дзене
Войти
1,0×
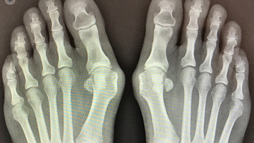
Простое упражнение при "выпирающей косточке" на ноге (Hallux valgus)
61,6 тыс просмотров · 3 года назад
00:00
/
07:50
Хозяйка Троп
2588 подписчиков
Подписаться
507916739.1775.1761329630939.74097