Найти в Дзене
Войти
1,0×
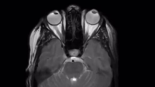
Движение глаз на МРТ
21 просмотр · 3 года назад
00:00
/
00:10
Гаражный Блог 18+
16 подписчиков
Подписаться
1422654770.1928.1760872514214.57983