Найти в Дзене
Войти
1,0×
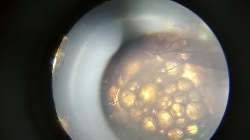
Постельный клоп под микроскопом: движение яиц в брюшной полости самки.
450 просмотров · 4 года назад
00:00
/
00:26
NatureLife Project
1944 подписчиков
Подписаться
3077637118.2005.1770651460673.20173