Найти в Дзене
Войти
1,0×
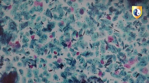
Дрожжеподобные грибы (Candida spp.) в микропрепаратах. Цитологический практикум. Видео 18.
214 просмотров · 3 года назад
00:00
/
06:14
Вокруг клеток
152 подписчиков
Подписаться
1231360329.1697.1759748810474.13768