Найти в Дзене
Войти
1,0×
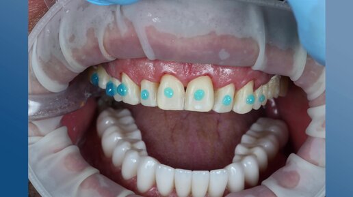
Много ли обтачивают зубы для виниров? 8 серия.
2756 просмотров · 4 года назад
00:00
/
06:32
Академик Игорь Маланьин
600 подписчиков
Подписаться
2500908459.2275.1765832396151.24204