Найти в Дзене
Войти
1,0×
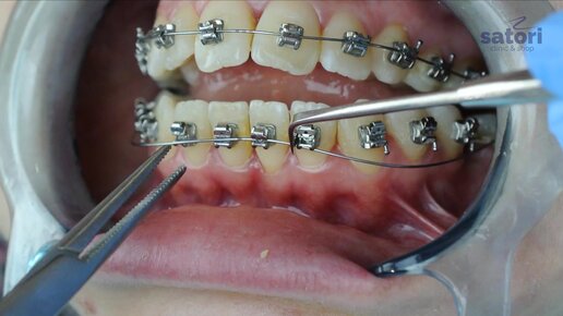
Как заменить дугу в брекетах – показываем и рассказываем
4029 просмотров · 4 года назад
00:00
/
05:40
Блог врачей Клиники Сатори
2096 подписчиков
Подписаться
44920727.1342.1776849065631.65097