Найти в Дзене
Войти
1,0×
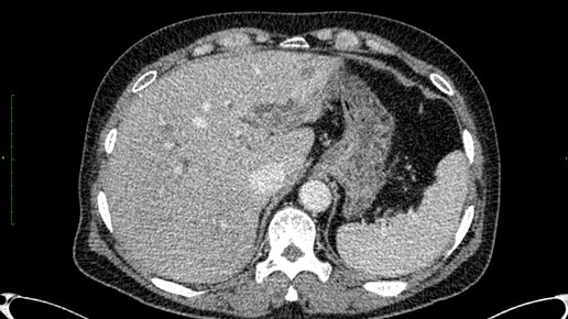
Что видно на КТ печени (видео)
1398 просмотров · 6 лет назад
00:00
/
00:52
Все о КТ и МРТ
287 подписчиков
Подписаться
4212918994.1339.1776733380027.56018