Найти в Дзене
Войти
1,0×
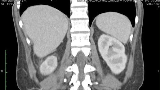
Что покажут снимки КТ почек (видео)
376 просмотров · 6 лет назад
00:00
/
00:29
Общегородской центр записи
186 подписчиков
Подписаться
2529705577.784.1776886618280.52903