Найти в Дзене
Войти
1,0×
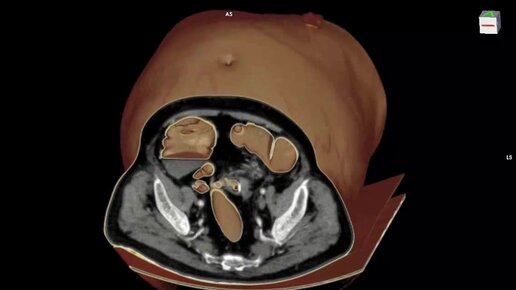
Что покажет виртуальная КТ колоноскопия кишечника
126 тыс просмотров · 5 лет назад
00:00
/
02:40
Общегородской центр записи
184 подписчиков
Подписаться
1914414622.1843.1764689677782.37616