Найти в Дзене
Войти
1,0×
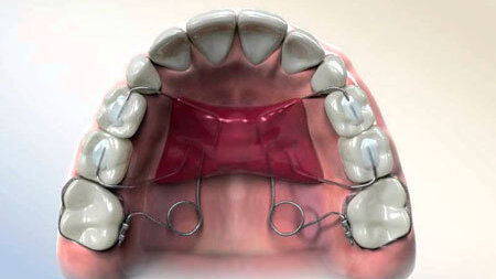
Ортодонтический аппарат Пендулум (Pendulum), Pendex, T - Rex, MDA.
2915 просмотров · 5 лет назад
00:00
/
04:40
ORTEAM I Ортодонтия и стоматология I СПб
658 подписчиков
Подписаться
3383007232.1906.1761284344587.22064