Найти в Дзене
Войти
1,0×
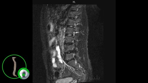
Что покажет МРТ поясничного-крестцового отдела позвоночника (видео)
654 просмотра · 5 лет назад
00:00
/
01:00
МРТ и КТ - все о диагностике
1156 подписчиков
Подписаться
55584858.1827.1766532698178.93123