Найти в Дзене
Войти
1,0×
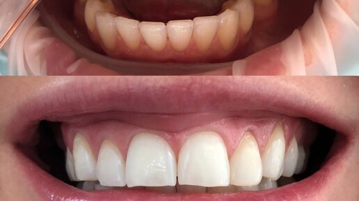
Всё о отбеливании зубов в домашних условиях
10 просмотров · 5 лет назад
00:00
/
05:34
LINA.RU
26 подписчиков
Подписаться
4115969453.1657.1759897095135.26412