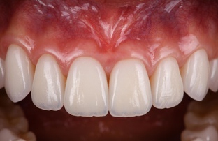
14:221,0×00:00/14:22ПодборкаАндрей Зорин124 смотрели · 1 год назадПодписатьсяВиниры без брекетов: керамика на неровные зубы
16:441,0×00:00/16:44ПодборкаАндрей Зорин102 смотрели · 1 год назадПодписатьсяКерамические виниры: обточка, фиксация, планирование