00:581,0×00:00/00:58Стоматология Лазурь614 смотрели · 3 недели назадПодписатьсяРубрика: «Клинические случаи». Врач стоматолог-терапевт, детский, высшей категории, заведующая детским отделением Потапова Виктория Вадимовна
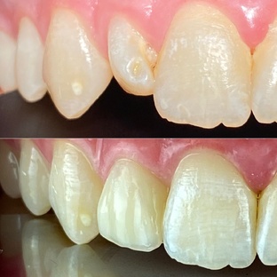
00:091,0×00:00/00:09Стоматология Лазурь5827 смотрели · 6 месяцев назадПодписатьсяПродолжаем рубрику «Клинические случаи». Татарова Тамара Гамлетовна Врач стоматолог, терапевт Компетенции: • Лечение зубов • Художественная реставрация • Эстетическая стоматология
00:091,0×00:00/00:09Стоматология Лазурь4027 смотрели · 6 месяцев назадПодписатьсяПродолжаем рубрику «Клинические случаи». Ханалиев Махмуд Ахметович Врач стоматолог-ортопед
00:511,0×00:00/00:51Стоматология Лазурь533 смотрели · 7 месяцев назадПодписатьсяВозраст ребенка 3 года. Лечение в условиях общего обезболивания - 5 часов. Врач стоматолог-терапевт, детский, высшей категории, заведующая детским отделением Потапова Виктория Вадимовна
00:091,0×00:00/00:09Стоматология Лазурь3408 смотрели · 7 месяцев назадПодписатьсяРознован клинический случай 1Клинический случай. Рознован Дарья Владимировна Врач стоматолог-терапевт, детский.
00:251,0×00:00/00:25Стоматология Лазурь1294 смотрели · 8 месяцев назадПодписатьсяВозраст ребенка 1 год 5 месяцев. Лечение в условиях общего обезболивания - 2 часа. Врач стоматолог-терапевт, детский, высшей категории, заведующая детским отделением Потапова Виктория Вадимовна