Найти в Дзене
Статьи МРТ

Статьи МРТ

Подборка статей об МРТ, рекомендациях к посещению, выявленных диагнозах, разборы клинических случаев от топовых врачей клиники.
подборка · 7 материалов
МРТ и чекап: обязательная часть или дополнительное исследование
Многие думают, что МРТ входит в стандартный чекап, но это не так.Базовый чекап обычно ограничивается анализами, УЗИ и консультациями врачей. МРТ — это более точный метод, который применяется для конкретных областей (мозг, позвоночник, суставы, органы малого таза, брюшной полости,…). Он позволяет выявить опухоли, сосудистые нарушения и скрытые воспаления на ранней стадии.В стандартный чекап МРТ не входит, но добавить его стоит,...
Почему МРТ делается долго?
Время, затрачиваемое на проведение МР-исследования, как правило колеблется в диапазоне от 20 до 45 минут, однако при определенных обстоятельствах такое исследование может занимать как 10, так и 90 минут. Зачастую, перед прохождением МР-сканирования, врач-лучевой диагностики предупреждает о том, сколько будет длиться исследование. Справедливо напрашивается вопрос, что влияет на проведение МРТ? Скорее всего, правильным будет суждение, что исследование начинается с момента прихода пациента. В таком...
Распространенные заблуждения об МРТ: чему верить, а чему — нет❔
1️⃣ МРТ можно проводить без назначения врача В действительности это правда. МР-томограф в период проведения исследований не оказывает вредного воздействия на организм человека, поэтому пациент может прийти и обратиться в любой диагностический центр для проведения МРТ и, даже без направления от лечащего/участкового врача. Но такое “самовольное” исследование в редких случаях несет какую-то диагностическую ценность, так как области исследования крайне обширны. Собственно поэтому, пациенту перед исследованием следует обратиться к врачу- специалисту для уточнения области и вида исследования...
Что такое мощность томографа и на что она влияет?
Зачастую, когда людям дают направление на МР исследования для оценки состояния систем органов, они неуклонно развертывают поиски наиболее оптимального медицинского центра с первоклассным оборудованием и высококвалифицированными специалистами. Так, зачастую при нахождении подходящей для Вас клиники, Вы можете столкнуться с выбором мощности томографа для проведения исследования. И, кстати, цены в зависимости от мощности томографа тоже варьируются. В данной статье мы попытаемся рассмотреть на что же...
МРТ закрытого и открытого типов
При назначении МР исследований зачастую уточняется где и на каком типе томографа лучше визуализируется исследуемая область. В данной статье мы разберемся что же такое МРТ закрытого и открытого типов, в чем их разница и практическая значимость для пациента в выборе исследования. Тип томографа: закрытый или открытый принципиально никак не влияет на работу томографа, так как принцип работы остается идентичным — это феномен магнитного резонанса. Единственным различием существенным визуальным различием является лишь конструктивные особенности томографа...
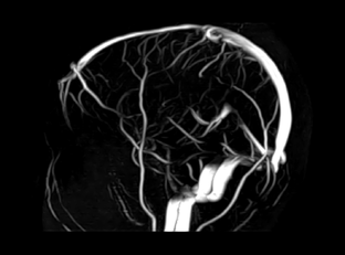
МРТ, КТ или УЗИ сосудов?
Зачастую, при назначении исследований сосудов различными методами, Вы можете задаваться вопросами: В чем отличие этих методов: КТ, МРТ и УЗИ сосудов? Зачем делать несколько исследований, а не сделать одно? Что является наиболее безопасным и оптимальным для меня? На эти вопросы мы в первую очередь постараемся ответить, попутно раскрываю суть и цели назначения каждого исследования. Разберем на примере исследований сосудов головного мозга, так как данная область является наиболее значимой и востребованной на настоящее время, и может быть исследована вышеизложенными методиками...