Найти в Дзене
Гематология

Гематология

Лабораторные методы исследования мазков крови
подборка · 15 материалов
5 месяцев назад
Окраска мазков крови по Фрейфельду для выявления базофильной зернистости в эритроцитах
Реактивы: 1) 1% водный раствор метиленового синего; 2) рабочий раствор метиленового синего: в химическую пробирку наливают 15-20 мл дистиллированной воды и приливают к ней 10-15 капель 1 % раствора метиленового синего; приготовленный реактив смешивают и используют для последующей окраски. Техника окраски. Мазки крови фиксируют в течение 3 мин в метаноле...
Фиксация мазков крови перед окрашиванием
Для фиксации мазков применяют следующие фиксирующие жидкости: метиловый спирт, смесь Никифорова, этиловый спирт, хлороформ и 1% раствор формалина. Фиксацию производят с целью предохранения мазков от разрушения форменных элементов и закрепления их на стекле. В метиловом спирте фиксацию проводят на протяжении 3 минут, в смеси спирта с эфиром (смесь Никифорова 1: 1) - 15 минут; при этом сосуд, где проводится фиксация, должен быть закрыт во избежание выпаривания эфира. В этиловом 96° спирте фиксацию...
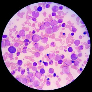
Результат окраски мазков по Романовскому-Гимзе
Окраска по Романовскому Краска Романовского состоит из азура II - 0,8; эозина ВА - 3,0; глицерина химически чистого - 250,0 и метилового спирта - 250,0. Обычно пользуются готовой краской указанного состава. Однако аналогичную краску можно приготовить в лаборатории, для чего растворяют 1,0 азура 11 в л свежепрокипяченной дистиллированной воды или 1,0 эозина растворяют в 1 л свежепрокипяченной дистиллированной воды. Растворы красок хранят отдельно. Для окрашивания одного препарата требуется 2-3 мл раствора краски...
102 читали · 2 года назад
Приготовление мазка крови для микроскопии
Каплю крови для мазка лучше всего снять с места укола непосредственно предметным стеклом и шлифованным краем другого предметного стекла или краем покровного стекла быстро и равномерно распределить ее по большей части предметного стекла. Существенно, чтобы мазок высыхал возможно быстрее, распределение клеточных элементов по стеклу было равномерным и материал для изготовления мазка был взят в должном количестве. Мазок не должен быть толстым и клетки не должны налегать друг на друга в два или более слоев...
Окрашивание мазков крови по Папаниколау в модификации Куницы
Оранжевый G: смешивают раствор 0,5 г оранжевого G на 100 мл 96 % спирта и 0,015 г фосфорно-молибденовой кислоты. Полученный раствор оставляют на 1 сут, после чего он годен для использования. Чтобы приготовить промежуточный краситель и бриллиантовый зеленый, необходимо за 1 сут приготовить следующие водные растворы: основного коричневого – 0,1 г на 1 л дистиллированной воды; эозина (желтого или обычного) – 0,1 г на 1 л дистиллированной воды; бриллиантового зеленого – 0,05 г на 1 мл дистиллированной воды + 1 мл 96 % спирта...
Вариант окрашивания мазков крови гематоксилином и эозином
Для приготовления красителя 50 г алюмокалиевых квасцов растворяют в 500 мл дистиллированной воды, доводят до кипения и высыпают в горячий раствор 1 г гематоксилина. Затем добавляют 500 мл дистиллированной воды и доводят до кипения (но не кипятят). Раствор остужают до комнатной температуры и добавляют йодат калия. Горло сосуда завязывают марлей и оставляют созревать на свету 5 недель...