Найти в Дзене
История Петра, который решил лечить зубы спустя 20 лет

История Петра, который решил лечить зубы спустя 20 лет

Захватывающая история о правильном решении пациента
подборка · 3 материала
109 читали · 1 неделю назад
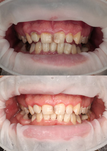
Двадцать лет без заботы о зубах (часть 3): В своём темпе ⭐
И если честно, в какой-то момент я была уверена, что эта история завершилась. Тихо, без финала. Как это, увы, часто бывает. * Я вспомнила Петра спустя время. После того, как мы завершили эстетические реставрации в зоне улыбки на верхней челюсти, он… исчез. Записей нет, визитов нет. И первая мысль, которая приходит врачу с опытом: "Ну конечно. Сделали красиво — и хватит" И ведь это не редкость. Пациент приходит «за улыбкой», за одной пломбой на переднем зубе, за быстрым эстетическим результатом...
520 читали · 6 месяцев назад
Двадцать лет без заботы о зубах (часть 2): Сон в кресле стоматолога
Каждый визит теперь — как маленький ритуал. Петр приходит немного раньше, чем назначено. Ожидая прием Петр достаёт телефон и погружается в игру. Иногда, пока я прохожу мимо, он даже не замечает, что я рядом — настолько увлечён процессом. И всё же, как только приглашаю в кабинет, откладывает телефон без лишних слов. Спокоен. Готов. Кариесы лечим один за другим — спокойно, планомерно. В кресле он расслабляется настолько, что нередко засыпает. И я каждый раз улыбаюсь: ещё недавно этот человек двадцать...
998 читали · 7 месяцев назад
История пациента: двадцать лет без заботы о зубах (часть 1)
В стоматологической практике часто встречаются пациенты с различными историями, сегодня хочу рассказать вам о моем пациенте, который 20 лет игнорировал уход за зубами Первые шаги к принятию решения Пусть, наш пациент будет Петром (имя изменено). Когда Петр пришел, его лицо выражало смесь отважности и стыда. Он долго колебался перед принятием решения, записаться на прием или нет. В течение двух десятилетий он избегал стоматологов, полагая, что проблемы с зубами не столь важны. Однако улыбка с каждым...