Найти в Дзене
Клинические ситуации

Клинические ситуации

Примеры работ с фотографиями и подробным описанием "что, зачем и почему".
подборка · 55 материалов
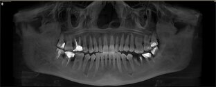
Небольшой фотоотчет о преображении ещё одной улыбки. Одна операция: удаление зубов, установка 8 имплантатов Medentika. Временное протезирование несъемными конструкциями. До/после:
134 читали · 5 месяцев назад
Протез на имплантах. Протезирование all on 4.
Конец ноября 2024 года, ко мне приходит пациент по рекомендации от доктора терапевта. Расстроенный, потерянный, не понимает что ему делать и как дальше жить… Я постарался успокоить его и сказал, что всё решаемо, не переживайте. И начал слушать историю, которую он мне поведал... Краткая предыстория: лечился в другой клинике. Сверху сделали операцию было всё ок. Потом, через некоторое время начали делать снизу похожую работу на 4-х имплантатах (пациент попал по какой-то причине к другой команде докторов в этой же клинике) и что-то пошло не так в лечении...
Устранение рецессии (убыли) десны в пришеечной области зубов. Фото до/после (через 1 месяц после операции). С помощью специальных микрохирургических инструментов формируется доступ в области зубов с опущением десны, ослабляется натяжение внутренних тканей. Затем из донорского участка с верхней челюсти в области нёба берётся кусочек трансплантата и фиксируется под десну в зоне операции. Есть несколько разных техник исполнения данной манипуляции. В данном случае выполнено vista доступом. #izhmukov_кейсы #izhmukov_десневая_пластика #izhmukov_полезное
416 читали · 11 месяцев назад
Имплантация нижнего 6 зуба и коронка из диоксида циркония
Доброго времени суток, друзья! Одна из самых частых ситуаций на приёме у хирургов - имплантологов и ортопедов это установка импланта в область отсутствующего 6-го зуба и его дальнейшее протезирование. Ситуация «до»: Утерян объём десны. Его мы восстановили за счёт пересадки десневого трансплантата из области бугра верхней челюсти. Фото сразу после установки имплантата, формирователя и десневой пластики: Через 2,5 месяца выкрутил формирователь: Сняли слепки и на следующем посещении поработали...
Если есть возможность установить имплантаты одномоментно с удалением зуба (как в данном случае) - используйте этот шанс. Это: •сокращает хирургические вмешательства; •сохраняет контуры кости и десны; •улучшает эстетический будущий результат ортопедической работы (не отличить от собственных зубов);
История неудачного опыта имплантации с хэппи эндом
Всем доброго времени суток, друзья! Каких только историй на приёме не услышишь от пациентов. Но такое впервые!🤯 Пришла пациент с отсутствием переднего зуба. Вернее с композитным мостом, который маскировал отсутствие этого зуба. Вот он (отмечен кружочком со стрелочкой): Вид с жевательной поверхности: То есть там просто пломбировочный материал на соседних зубах: Естественно поинтересовался предысторией. И получил «интересный» ответ. Врач стоматолог терапевт, которая никогда видимо раньше не занималась имплантацией (либо только-только начал/а) решил/а установить имплантат...