Найти в Дзене
Ортопедия

Ортопедия

В этих статьях есть фотографии ортопедических сданных конструкций.
подборка · 13 материалов
Небольшой фотоотчет о преображении ещё одной улыбки. Одна операция: удаление зубов, установка 8 имплантатов Medentika. Временное протезирование несъемными конструкциями. До/после:
134 читали · 5 месяцев назад
Протез на имплантах. Протезирование all on 4.
Конец ноября 2024 года, ко мне приходит пациент по рекомендации от доктора терапевта. Расстроенный, потерянный, не понимает что ему делать и как дальше жить… Я постарался успокоить его и сказал, что всё решаемо, не переживайте. И начал слушать историю, которую он мне поведал... Краткая предыстория: лечился в другой клинике. Сверху сделали операцию было всё ок. Потом, через некоторое время начали делать снизу похожую работу на 4-х имплантатах (пациент попал по какой-то причине к другой команде докторов в этой же клинике) и что-то пошло не так в лечении...
Пересадка зуба (аутотрансплантация) часть 2. Ортопедическая.
Доброго времени суток , друзья! Ранее я выкладывал статью о том, что я пересадил 8-й зуб на место 7-го. Её можно прочитать здесь. Наступил момент стабилизации пересаженного зуба и можно было приступать к его ортопедической коррекции, а именно обработке и покрытию коронкой. Зачем покрывать зуб коронкой? Во-первых, чтобы поверхность идеально подходила под верхние зубы и жевательная эффективность была на максимуме. Во-вторых, зуб без нерва, а значит он более уязвим к разрушению при нагрузке. Чтобы ее правильно перераспределить, зуб нужно покрыть коронкой...
416 читали · 11 месяцев назад
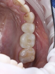
Имплантация нижнего 6 зуба и коронка из диоксида циркония
Доброго времени суток, друзья! Одна из самых частых ситуаций на приёме у хирургов - имплантологов и ортопедов это установка импланта в область отсутствующего 6-го зуба и его дальнейшее протезирование. Ситуация «до»: Утерян объём десны. Его мы восстановили за счёт пересадки десневого трансплантата из области бугра верхней челюсти. Фото сразу после установки имплантата, формирователя и десневой пластики: Через 2,5 месяца выкрутил формирователь: Сняли слепки и на следующем посещении поработали...
Если есть возможность установить имплантаты одномоментно с удалением зуба (как в данном случае) - используйте этот шанс. Это: •сокращает хирургические вмешательства; •сохраняет контуры кости и десны; •улучшает эстетический будущий результат ортопедической работы (не отличить от собственных зубов);
Фотографии до, на этапе и после вот этой интересной и захватывающей истории https://dzen.ru/a/ZnKM6MRMp0o6Qumk?via=zenkitx&&secdata=CJDDhfeqMiABUA9qAQGQAQA%3D&from=channel&integration=zen_app_ios&place=export&feed_exp=ordinary_feed&referrer_clid=2314040&rid=2795507249.1096.1733735895007.70778&clid=2314040 Как Вам результат?