Найти в Дзене
Экстренное

Экстренное

О пугающем: перелом зуба, шишка на десне
подборка · 2 материала
322 читали · 3 года назад
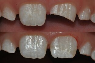
Ребёнок сломал зуб! Что делать?
Ничего не подозревающий постоянный зубик с фотографии прорезался несколько месяцев назад. И вот уже он встретился с твёрдым предметом и был сломан! ❗Что делать? 1) найти кусок зуба (или весь зуб), 2) звонить детскому стоматологу! 👉 Наилучшие жидкости для транспортировки зуба: физраствор, слюна, молоко. Не кладите его в спирт, перекись или влажную салфетку. 👉 Почему именно детский стоматолог? Врач должен обладать необходимыми знаниями и навыками для сохранения молодого зуба, а в стоматологии должны быть в наличии специальные материалы...
2279 читали · 3 года назад
Флюс / шишка / свищ / гнойник 🦷
Всеми этими словами родители обычно называют бугорок на десне, который возникает из-за осложнений кариеса. 😈  Когда микробы уже захватили весь зуб, они попадают в челюсть. Конечно, организму не всё равно, и он продолжает сопротивляться. В этой борьбе выделяется неприятная жидкость, которой нужно куда-то выйти. Поэтому на поверхности десны появляется "прыщик", затем лопается 🤮 и заживает. Если ничего не предпринять, он будет появляться снова и снова.  Зуб не обязательно должен быть кариозным, чтобы образовался свищ...