Найти в Дзене
Ортодонтия

Ортодонтия

Исправление прикуса, выравнивание зубов, лечение сустава на брекет-системах, элайнерах и съемных аппаратах
подборка · 8 материалов
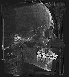
История пациента: сильная суставная боль и заваленная назад челюсть
Наша сегодняшняя героиня — Елена, 45 лет. Елена обратилась к нам с жалобами на сильную суставную боль. В подростковом возрасте она уже проходила ортодонтическое лечение, но, тем не менее, ее верхняя челюсть была сильно завалена назад, что, в конечном счете, и вызывало боли. Пациентка обратилась к нам с жалобами на сильную суставную боль: болезненные ощущения возникали каждый раз при смыкании и размыкании челюстей. В процессе первичного опроса выяснилось, что в подростковом возрасте Елена проходила ортодонтическое лечение...
История пациента: врожденное отсутствие верхних резцов🦷
Наш сегодняшний пациент — Максим, 18 лет. У Максима интересный случай — врожденное отсутствие верхних «двоек»: молочные резцы были, а коренные на их месте, к сожалению, не прорезались. Кроме того, имеющиеся зубы у пациента небольшого размера и смотрятся не очень эстетично, особенно если учесть, что Максим — рослый молодой человек. У Максима врожденное отсутствие боковых верхних резцов. Кроме того, имеющиеся зубы у пациента достаточно маленькие, не соответствующие его значительному росту. Максиму 18 лет, конечно же, эстетический аспект для него важен...
История пациента: реставрация зубов при лечении на брекетах
Наша сегодняшняя героиня — Анжелика, 34 года. В момент обращения Анжелика проходила лечение на брекетах в сторонней клинике. Но добиться полноценного результата мешала неправильная форма и недостающий объем твердых тканей двух зубов. Ортодонт посоветовал Анжелике обратиться к нашему главному врачу, Евгению Ильичу Шору: необходимо было восстановить клык и «двойку». Пациентка пришла к нам из сторонней клиники, где проходила ортодонтическое лечение. Лечащий врач-ортодонт направил Анжелику к нашему главному врачу, Евгению Ильичу Шору, для реставрации зубов 4...
История пациента: брекеты с удалением зубов
У нашей сегодняшней героини, Олеси, — случай редкий. Поступила к нам из сторонней клиники, на этапе ортодонтического лечения. Олеся носила брекеты уже полтора года — но позитивных изменений практически не было. Поэтому решила получить второе мнение и, по совету знакомых, обратилась к нам. На момент обращения Олеся уже полтора года проходила ортодонтическое лечение в сторонней клинике. В последние полгода лечения девушка не замечала позитивных изменений. Обратиться за вторым мнением Олесе посоветовали знакомые, которые успешно у нас лечатся...
История пациента: сильная боль и щелчки в суставе челюсти
Наша героиня — Мария, 27 лет. Девушка обратилась с жалобами на острую боль в суставах челюсти, которая сопровождалась характерными щелчками. Мы решили проблему Марии и сейчас расскажем вам, как! А заодно объясним, почему перед любыми манипуляциями с зубами важно убедиться в правильном положении суставных головок. Пациентка обратилась с жалобами на щелчки и сильную боль в области обоих челюстных суставов, а также на головные боли. В этом случае у нас есть возможность проследить, как менялось состояние челюсти и зубов нашей героини с течением времени...
История пациента: брекеты при скученности и стираемости зубов
Знакомьтесь, наш сегодняшний герой – Сергей, 37 лет, обратившийся в нашу клинику по рекомендации знакомых. У Сергея неправильный прикус, нижние зубы налезают один на другой, верхние достаточно сильно стерты. Это помимо других, более распространенных проблем: очаги кариеса, отсутствующие зубы и некстати вылезшие «восьмерки», причиняющие беспокойство. Сергей обратился за постановкой брекетов, однако на такой «исходник» их ставить нельзя: сначала нужно решить все имеющиеся проблемы. На осмотре было обнаружено несколько кариозных зубов...