В «Склифе» рассказали о самых необычных удаленных из тела пациентов предметах

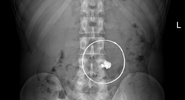
Врачи московского НИИ скорой помощи имени Склифосовского рассказали о самых необычных предметах, которые пришлось извлекать из пациентов в прошедшем году.Царьград
В список попали самые разные предметы: беспроводные наушники, серьги, кольца, цепочки и другие ювелирные украшения и даже один силиконовый браслет от фитнес-трекера.РЕН ТВ
Ежегодно в Склиф поступают десятки пациентов с инородными телами в организме, которым требуется экстренная помощь, а в некоторых случаях — длительное восстановление после хирургического вмешательства.Life.ru
«Напоминание от Склифа: пожалуйста, будьте осторожны и берегите себя», — заключили в медучреждении.Life.ru
Эта новость в СМИ