Свердловские врачи спасли 5-летнюю девочку, проглотившую 10 магнитных шариков

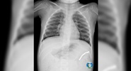
Врачи Детской городской клинической больницы № 9 Екатеринбурга спасли 5-летнюю Ульяну, которая проглотила 10 магнитных шариков.Московский Комсомолец Екатеринбург
После обследования маленькую пациентку прооперировали.Lenta.ru
По словам детского хирурга ДГКБ №9 Андрея Чукреева, связавшуюся цепочку магнитов достали, минимизируя риск осложнений.URA.Ru
После операции в течение 10 дней девочка проходила восстановительную терапию в отделении неотложной хирургии.News.ru
Эта новость в СМИ