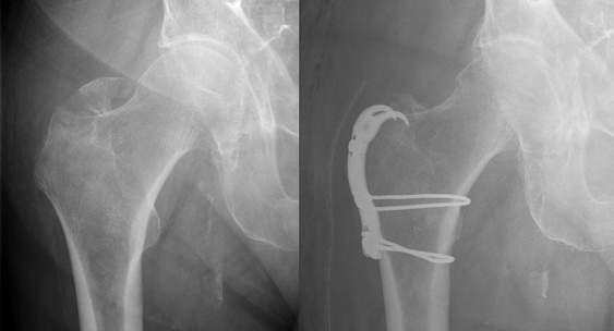
Уролог Гадзиян: поход в туалет ночью грозит переломом шейки бедра

Частые ночные пробуждения для посещения туалета несут серьезную опасность для пожилых людей, предупредил уролог Марк Гадзиян.АМИТЕЛ
Пожилые люди, встающие ночью в туалет, нередко получают тяжелую травму — перелом шейки бедра.АМИТЕЛ
Однако после 80 лет риск смертельного исхода значительно возрастает.Радио 1
Самое важное о медицине, советы врачей и новые исследования — в разделе «Здоровье» на Life.ru.Life.ru
Эта новость в СМИ