Esmira Memmedova - Xeyallarimin İnsani 2020 / Official Klip
«Овечкин смайл»: фанаты хоккеиста обращаются в клинику, чтобы сделать себе улыбку как у кумира
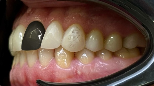
Задумывались ли вы, как иногда неожиданные просьбы могут изменить обычный рабочий день? Меня зовут Константин, и я уже не первый год помогаю людям вернуть уверенность в себе с помощью виниров, ювениров и реставраций. Но совсем недавно ко мне обратились с весьма необычным запросом — сделать точную копию легендарной "улыбки Овечкина"! Оказывается, мой пациент — большой поклонник Александра Овечкина. Парень рассказал: "Мечтаю получить такую же широкую и узнаваемую улыбку, как у кумира." Признаюсь,...
Звезды хоккея. Самые известные хоккеисты
В России одним из самых популярных видов спорта признан хоккей. Тысячи зрителей с упоением следят за баталиями, удивляясь, как страсти, творящиеся на площадке, не топят лед. Самое большое внимание во все времена привлекали к себе звезды хоккея – игроки, демонстрирующие во время состязаний особое мастерство. Давайте узнаем, кто они – самые известные хоккеисты России и мира. Звезды хоккея. Павел Буре Советский Союз дал миру множество блистательных хоккеистов. Один из них – Павел Буре, прозванный за рубежом за невероятные скоростные характеристики «Русской ракетой»...