Бой, после которого Заб Джуда чуть не стал инвалидом и закончил карьеру
ТОП 3 СОВЕТА, КАК СТАТЬ ИНВАЛИДОМ
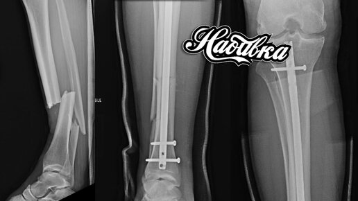
Вокруг единоборств и тайского бокса в том числе существует огромное количество анекдотических ситуаций. Одной из самых любимых мною тем является вопрос набивки конечностей. Сегодня мы поговорим о подготовке голени, так как ошибки в этом могут быть чреваты серьезными травмами. Совет №1. Набивка убивает нервные окончания Те, кто заходили в школу хотя-бы до девятого класса надеюсь поймут, что это полный бред. Давайте представим себе, что нервы на ногах действительно умерли после тяжелых тренировок...
Можно ли бить в затылок: почему этот удар так опасен
Знаешь, недавно я наблюдал тренировку по боксу в местном спортклубе. Новичок задал тренеру простой вопрос: "А почему нельзя бить в затылок?" Ответ поразил меня своей серьезностью. Оказывается, за этим запретом стоят не просто правила приличия, а настоящие вопросы жизни и смерти. Честно говоря, я сам когда-то думал, что это просто условности спорта. Но углубившись в тему, понял: удар в затылок - это не шутки. Это может стать последним, что человек запомнит в своей жизни. В современных единоборствах удар по затылку категорически запрещен...