КРАТОС: сталь и кровь в жестоком мире кулачного боя
Наши стволовые клетки крови — это настоящие фабрики жизни, но со временем они постепенно теряют свою силу
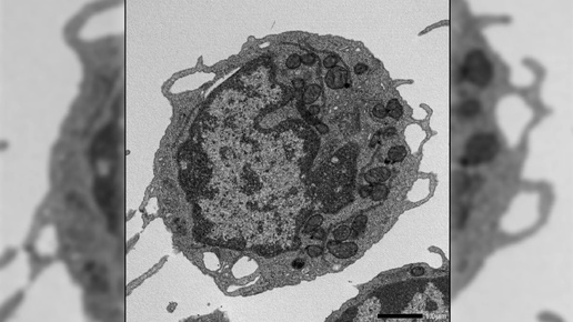
Группа ученых из Японии и США обнаружила неожиданного виновника этого процесса. Оказалось, что белок MLKL, известный как триггер клеточной смерти, ведет скрытую двойную игру 🧬. Под воздействием возрастного стресса он не убивает клетки, а проникает в их энергетические станции — митохондрии — и буквально выводит их из строя. Это лишает кровь способности обновляться, а наш иммунитет — надежной защиты. Исследователи...
6 фактов о крови, которые вы могли не знать
Кровь – невероятная по своим свойствам ткань организма. Многие люди знают еще из школы, что основная функция крови – доставка кислорода и питательных веществ, а также перенос продуктов обмена. Но есть и другие функции: защита от чужеродных агентов, регулирование температуры тела и баланс различных химических соединений. Но есть и другие интересные факты, которые вы могли не знать о крови. 1. Кровь одновременно и жидкая, и твердая Кровь – это один из типов соединительной ткани. Она содержит множество...