Нефтяной король: Секретная жизнь Марка Рича обзор книги
Синдром Хаммена-Рича
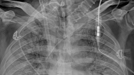
Этот мужчина 43 лет за неделю до болезни вернулся с отдыха в одной из южных стран. Почувствовал слабость, одышку, Т тела повышалась до 39-40 С. Лечился самостоятельно, в/м инъекциями цефалоспоринов с положительным эффектом - снизилась температура тела. Однако, чуть позже вновь появилась лихорадка, сухой кашель и одышка - госпитализирован по скорой помощи в инфекционный стационар, при поступлении Sat02 - 88%, сразу налажена респираторная поддержка (10 л/мин), госпитализация в отделение реанимации и интенсивной терапии...
Борьба с синдромом самозванца: шаг первый
В прошлой публикации мы говорили о том, что такое «синдром самозванца» и откуда он берётся. Сегодня — про его главный инструмент: хроническое обесценивание себя и своих действий. Часто ли вы… воспринимаете проделанную работу как элементарную, с который мог бы справиться каждый? Расцениваете комплименты в свой адрес как вежливость другого человека? Объясняете свои успехи стечением обстоятельств? Да, все это — обесценивание. Загибайте пальцы, если регулярно используете эти слова: все это слова-маркеры, свойственные людям с синдромом самозванца...