1398 читали · 4 года назад
Диффузные изменения перенхимы печени и жировой гептоз на УЗИ - что это значит? Объясняю на примерах
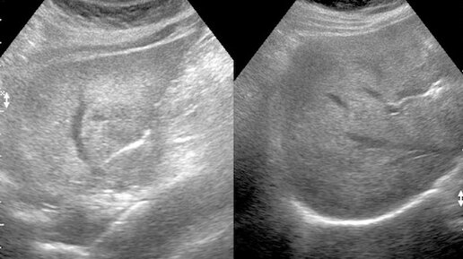
Скажу сразу, что это очень простой и одновременно сложный вопрос. Если объяснять совсем в лоб, то словосочетание "диффузные изменения печени переводится следующим образом": "на УЗИ ваша печень отличается от здоровой, но каких-то катастрофических изменений нет, как и конкретного диагноза"...
4399 читали · 4 года назад
Что же такое - умственная отсталость и как она обозначается в заключениях ПМПК?
​Для того, чтобы понимать, какая коррекционная помощь требуется ребёнку, лучше понимать его особенности и возможности, всем, кто пересекается с особенными детьми необходимо уметь читать заключение ПМПК и понимать о чём там написано...