2993 читали · 1 год назад
Когда нужно удалять кисту яичника? Рассказывает гинеколог.
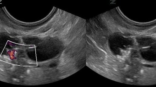
Кистой яичника называют образование, которое представляет собой полость, заполненную жидкостью и окруженную плотной капсулой. Опухоль имеет доброкачественный характер. Рост обусловлен увеличением объема жидкости. На своём Телеграм-канале мы публикуем клинические случаи и посты от наших акушеров-гинекологов и репродуктологов. Подпишитесь, чтобы узнавать больше полезного о мужском и женском здоровье. Виды кисты Кисты яичника отличаются: По каким признакам можно определить кисту яичника Очень часто формирование кисты не сопровождается какими-либо симптомами...
1638 читали · 1 год назад
Киста яичника. В каких случаях нужно удалять?
Киста яичника — это заполненное жидкостью полостное образование на поверхности или внутри яичника. Такие кисты встречаются у женщин любого возраста, но чаще всего диагностируются в репродуктивном возрасте. Какие типы кист существуют? Какие их сопровождают симптомы? Как их диагностируют и лечат? Каждый тип кисты яичника имеет свои особенности, которые определяют подход к лечению. Наиболее распространенный тип кист. Такие кисты бывают: Образуются в результате эндометриоза, при котором подобная эндометрию ткань растет за пределами матки, в том числе на яичниках...