05:51
1,0×
00:00/05:51
27,9 тыс смотрели · 4 года назад
4170 читали · 2 года назад
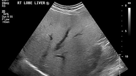
Стеатоз — что это такое
Стеатоз — это накопление жира в тканях. Чаще всего это состояние поражает печень. Накопление жира в печени может привести к заболеваниям печени. Здоровая печень содержит некоторое количество жира, но если жир составляет более 5-10% от веса печени, врачи называют это жировой дистрофией печени, или стеатозом. Чаще всего это состояние наблюдается при неалкогольной жировой болезни печени. Неалкогольная жировая болезнь печени (НАЖБП) включает в себя целый ряд заболеваний печени, которые наблюдаются у людей, употребляющих мало алкоголя или вообще не употребляющих его...
2121 читали · 4 дня назад
Аутизм: что это такое и как с ним жить
Аутизм – это расстройство развития ребенка, в основе которого лежат нарушения в работе нейронных сетей головного мозга. Расстройство проявляется в особенностях поведения ребенка. Например, ребенок уронил игрушку за спинку дивана и не может ее достать. Обычный малыш сообщает взрослому о проблеме. Если он еще не умеет говорить, он берет маму/папу/бабушку за руку и тянет к дивану, указывая рукой на щель между спинкой и стеной. При аутизме ребенок может громко плакать или кричать из-за расстройства,...