Вкусовые сосочки. Что о них знает современная наука — Как устроен мир с Тимофеем Баженовым
что такое Нитевидные сосочки на языке
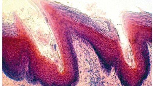
В прошлой публикации, мы рассказали о том, какие есть соски у языка. В этой, мы разберем один тип сосочков. Нитевидные сосочки. Длина их от 0,6 до 2,5 мм, толщина 0,1 — 0,6 мм. Основу сосочка составляет выпячивание собственной пластинки слизистой оболочки, которое покрыто многослойным плоским эпителием ороговевающего типа...
Результат теста: какой ты вкусовой сосочек?
— Кто мы? — Вкусовые сосочки! — Чего мы хотим? — Пройти тест! Возможно вы прирожденный лидер, как Вождь-сосочек, или любители зажигательных вечеринок, как Катусята? Сегодня после прохождения теста «Какой ты вкусовой сосочек?» вы узнаете о себе чуть больше! 5 баллов: Вождь Поздравляем! Вы Вождь, а это значит, что вы обладаете ярко выраженными лидерскими качествами: мудры не по годам и являетесь примером для окружающих вас людей и невероятно харизматичны. Без раздумий берете на себя ответственность, вы отважны, быстро принимаете решения и уверены в своих силах...