Теория сМа или электроника стиралки. [Ⓜ]
СМА: что это, симптомы, типы, причины, лечение
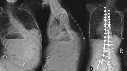
Лекарства, помогающие вылечить спинальную мышечную атрофию (СМА), появились недавно. О заболевании стали говорить чаще, чтобы привлечь внимание к проблеме дорогостоящих лекарств или в поддержку адресных сборов О спинальной мышечной атрофии (СМА) — тяжелом редком генетическом заболевании — стали активно говорить в обществе и СМИ лишь несколько лет назад, хотя само заболевание, конечно, известно науке давно. Впервые оно было описано в 1891 году австрийским неврологом Г. Верднигом и затем в 1892 году немецким неврологом Й...