Огромные кистозные угри на губах и лице. Выдавливание черных точек
Сколько стоит полное протезирование зубов? Реальная история.
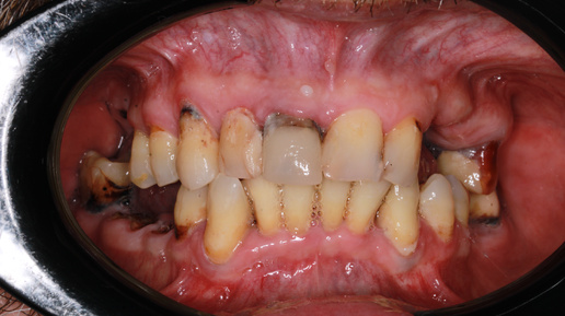
Сегодня показываем Вам успешный кейс пациента, который исполнил свою мечту об идеальной улыбке в клинике Санкт-Петербурга. Мы пообщались с врачами, участвующими в лечении и собрали для вас самые интересные детали о ходе лечения. В конце статьи вы узнаете, сколько стоило удалить все нездоровые зубы и установить новые. Мужчина. 49 лет Пациент обратился к нам в начале августа 2024 года со следующими жалобами: К сожалению, долгое время он не обращался к стоматологам из-за страха перед лечением. Госьков И...
Удаление кисты малой слюнной железы. Как это делается?
Здравствуйте, друзья! Сегодня, моя статья будет посвящена кистам малых слюнных желез. О самой распространенной – ретенционной кисте нижней губы (или «мукоцеле»), я вам сегодня и расскажу. ------------------------------------------------------------------------------------------------------------------------------------------------------------------------ ВНИМАНИЕ!-Uwaga!-Pažnju!-Attention!-Achtung!-Attenzione!-ВНИМАНИЕ!-Uwaga!-Pažnju! Ниже будут представлены фотографии, сделанные во время операции! С видами зубов, дёсен, крови и расчлененки...