06:44
1,0×
00:00/06:44
727 тыс смотрели · 4 года назад
КАК ДОЛГО МОЖНО непрерывно ДЫШАТЬ КИСЛОРОДОМ? Жизнь под кислородом 7.
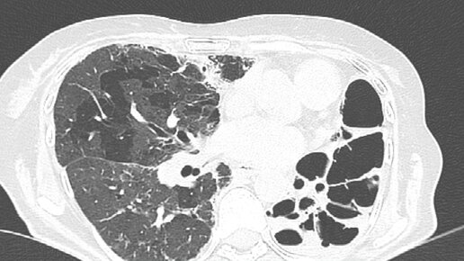
В первые месяцы своей жизни на кислороде, я не могла надышаться и просто наслаждалась тем, что могу это делать без усилий. Но через три месяца у меня опять началась жуткая одышка, изматывающая тошнота, непреходящая головная боль, слабость, тахикардия и сильное головокружение. То есть всё то, что было до кислорода. Конечно, я задавала вопросы врачам и интернету. Но внятных ответов не получала. Потом я поняла, что неправильно формулировала вопрос. Вместо «Что будет, если дышать кислородом без перерывов?» я задала интернету вопрос «Опасность закисления организма» и, наконец, получила информацию...
47,9 тыс читали · 7 лет назад
Кислородное голодание. Способы увеличения кислорода в домашних условиях
Широко известно, что кислород жизненно необходим практически всем живым существам для поддержания жизни.  Но, современные  мегаполисы  далеки от экологически положительных условий. Постоянно работающие заводы, выхлопы транспорта и проблемы с экологией это факторы, снижающие качество вдыхаемого воздуха. Кислородное голодание: причины возникновения и симптомы Кислородное голодание – гипоксия – это пониженное содержание уровня кислорода в организме или отдельных органах и тканях. Это достаточно тяжелое заболевание, требующее лечения...