Сколько времени срастаются кости после перелома? Как именно срастаются кости после перелома?
Переломы плюсневых костей
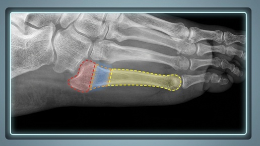
Плюсневые кости представляют собой длинные кости среднего отдела стопы. Их переломы распространены среди людей различных возрастных групп и видов физической активности. Травмы, связанные с этими костями, далеко не редкость в мире спорта. Чаще всего встречаются стресс-переломы или переломы, полученные в результате механического воздействия. Так, стресс-переломам плюсневых костей подвержены в основном бегуны, триатлонисты и ультрамарафонцы.
В обычной стопе человека 5 плюсневых костей, которые соответствуют пяти пальцам...
Как долго срастаются переломы костей?
Я думаю, каждый человек ломал себе какую-нибудь кость. И мы сразу же хотим узнать, а сколько срастается кость? Как ускорить процесс срастания. Сегодня я попытаюсь ответить на ваш вопрос. Но вдруг если вы думаете, что у вас перелом и еще не сходили в травматологию, быстрее бегите туда. Чем дольше вы ждете, тем хуже можете сделать себе вплоть до операции! Срок срастания кости Сразу вас предупрежу, что ниже написаны средние значения и у каждого кости срастаются с разной скоростью. В травматологии вам должны были сказать, когда у вас следующий прием...