131 читали · 5 лет назад
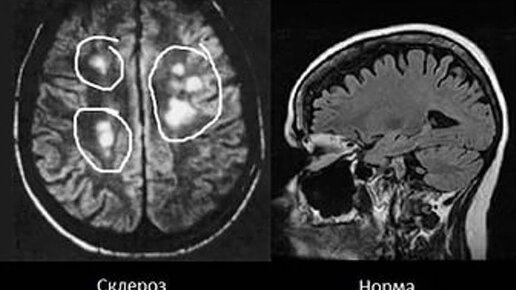
Рассеянный склероз на МРТ головного мозга
Рассеянный склероз представляет собой тяжелое прогрессирующее заболевание нервной системы человека, во время которого больной постепенно теряет двигательные функции и речь. Диагностика рассеянного склероза...
117 читали · 9 месяцев назад
Рассеянный склероз — бороться, остановить нельзя
Рассеянный склероз — заболевание, при котором иммунная система атакует ткани головного и спинного мозга. По статистике чаще всего встречается у взрослых людей молодого и среднего возраста. За этот год к нам приехало два пациента с подозрением и подтвержденным диагнозом рассеянный склероз — молодые мужчины в возрасте 20 и 24 лет. Их истории стали основой для этой статьи, где мы расскажем, как проявляется заболевание, в чем заключается опасность, если вовремя не остановить течение болезни; как диагностировать и лечить рассеянный склероз...