Esmira Memmedova - Xeyallarimin İnsani 2020 / Official Klip
Из чего состоит ортодонтическое обследование и зачем оно нужно? 1 часть!
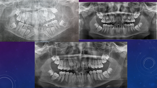
Зачастую пациенты врача-ортодонта задают себе (и не только) вопрос: зачем доктор назначает столько обследований? Наверное рентген-кабинет с ним делится?! Поставил-бы брекеты, да и всё!
Не всё так просто!
В...
Ортодонтия. Что это и зачем?
Дорогие друзья! Сегодня поговорим об очень интересной и актуальной теме. Сначала обозначим для Вас данное понятие.
Ортодонтия- это раздел стоматологии, изучающий и занимающийся лечением дефектов зубочелюстной системы...