Почему была мода на черные зубы и какие овощи исчезли навсегда.
Черные зубы, почему они темнеют и как с этим бороться
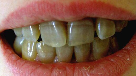
Почему зубы темнеют? Это один из наиболее часто задаваемых вопросов в стоматологических кабинетах. Причины, которые могут повлиять на изменение цвета зубов, подразделяются на внешние и внутренние. Внутренние причины – это те, которые вмешиваются в фазу формирования зубов, прежде чем они прорезаются. Пятна, которые возникают в этой фазе, могут быть вызваны приемом определенных антибиотиков, таких как тетрациклин, высоким уровнем фтора или плохой минерализацией зубной эмали. Естественное старение зуба также входит в эту группу факторов...
Почему зубы стали чёрные? Что это?
⠀ Если вы видите у ребёнка чёрные зубы, то это могут быть 3 варианта причин: ⠀ ✔зубы с кариесом ✔зубы посеребрили ✔на зубах чёрный налёт. ⠀ Про то посеребрили зубы или нет, вы сами знаете. А вот кариес или налёт, вам подскажет мой бесплатный гайд, если напишете в Директ одно лишь слово «НАЛЁТ». ⠀ А вот какой налёт? Ставь ❤️ Будем разбираться 👇 ⠀ Существует 2 основных вида зубного налёта: 1️⃣ кариесогенный (вызывающий кариес). Это мягкий белый или жёлтый зубной налёт, который можно счистить зубной щёткой и пастой...